Deniz Publication
Clinical Cancer Investigation Journal
ISSN Print: 2278-1668, Online: 2278-0513


Publisher: Deniz Publication
2025 Volume 14 - Issue 2
Table of Contents
Downloads: 317
Views: 3668
Para-Aortic Nodal Involvement: A Significant Determinant of Treatment-Related Toxicity in Cervical Cancer Patients
Purnima Thakur, Kaalindi Singh, Vineet Kumar, Manish Gupta, Siddharth Vats, Vikas Fotedar
Downloads: 148
Views: 878
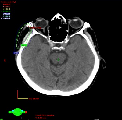
Primary Cutaneous Mucinous Adenocarcinoma of Facial Region Treated with Multimodality Therapy: Case Series of Rare Malignancy
Primary Cutaneous Mucinous Adenocarcinoma of Facial Region Treated with Multimodality Therapy: Case Series of Rare Malignancy
Niladri Roy, Arnab Kumar Ghosh, Bappaditya Chhatui, Sharmistha Debnath, Alakananda Choudhury, Justice Mazumdar, Janmenjoy Mondal, Snigdha Hazra
Copyright © 2026 Clinical Cancer Investigation Journal. Authors retain copyright of their article if they are accepted for publication.
Creative Commons License 
ISSN Print: 2278-1668, Online: 2278-0513