Deniz Publication
Clinical Cancer Investigation Journal
ISSN Print: 2278-1668, Online: 2278-0513


Publisher: Deniz Publication
ARTICLE
Year: 2025   |   Volume: 14   |   Issue: 2   |   Page: 7-11     View issue

Primary Cutaneous Mucinous Adenocarcinoma of Facial Region Treated with Multimodality Therapy: Case Series of Rare Malignancy


, , , , , , ,
  1. Department of Radiotherapy, Medical College Kolkata, Kolkata, India.
  2. Department of Oncopathology, Medical College Kolkata, Kolkata, India.
  3. Department of Radiotherapy, IPGMER and SSKM Hospital, Kolkata, India.
  4. Department of Medical Oncology, Medical College Kolkata, Kolkata, India.
Abstract

Primary mucinous carcinoma (PMC) of the skin is a rare malignancy with an indolent course. It is a locally aggressive tumor.  The most common location is the face and scalp. The primary modality of treatment is surgery, while radiation may be reserved as an adjuvant for high-risk factors or as definitive when a patient refuses surgical intervention. The use of adjuvant and definitive radiotherapy has very limited reporting in the literature. We have reported 4 cases of primary mucinous carcinoma of the skin treated with adjuvant or definitive radiotherapy. All were located in the face and scalp region. All 4 cases had a very indolent course. 3 were treated with adjuvant and 1 with definitive radiotherapy, with two patients being treated with surface mould brachytherapy. Indications of adjuvant radiotherapy were positive, close, or unknown resection margin status. A radiation dose of 42 Gy to 60 Gy was used; the maximum dose per fraction was 4 Gy. At the end of the follow-up period, all patients had loco regionally controlled disease. Both acute and late skin toxicity profiles were favourable, with one patient having acute grade III skin toxicity. Radiation therapy may be safely used as an adjuvant or definitive treatment of primary mucinous carcinoma of the skin; however, more prospective data is needed to have consensus guidelines.

Keywords: Primary mucinous carcinoma skin, Radiotherapy, Surface mould brachytherapy, Skin cancer, Case series

Introduction

Mucinous adenocarcinoma of the skin can be primary in origin or metastasis from mucinous carcinoma of the viscera. Primary mucinous adenocarcinoma (PMC) of the skin is a rare malignancy and originates from the eccrine glands. The most common sites of involvement are the eyelid, face, and scalp.[1] Anatomically, the eyelid is most commonly affected (41%). Additional locations include the scalp (17%), face (14%), axilla (9%), chest/abdomen (7%), vulva (4%), neck (2%), extremity (2%), canthus (2%), groin (1%), and ear (1%). A systemic metastatic workup is always warranted when mucinous carcinoma of the skin is diagnosed to rule out skin metastases from a visceral primary. It usually has an indolent course, and the lesion is usually present for years before diagnosis.[2]

There are no defined guidelines for the definitive management of PMC skin. The surgical options include standard and wide local excision and Mohs surgery with or without lymph node dissection.[3, 4] Adjuvant radiotherapy may be used in high-risk cases like positive margins, perineural invasion (PNI), recurrent disease, multiple positive nodes, extranodal extension, and individualized risk factors based on size, location, histology, and extrapolating data from common non-melanoma skin cancers.[5] The role of adjuvant radiotherapy in PMC has not been clearly reported in the literature, and no consensus guideline is available. Very limited data is available in the literature on the use of radiotherapy in skin adnexal carcinoma, especially for PMC skin.[6-12] A SEER meta-analysis suggested that 5.83% of patients with PMC skin are being treated with radiotherapy of some form.[9] Wang LS et al.[6] reported only 1 of the 9 cases of skin adnexal carcinoma treated with adjuvant radiotherapy was PMC skin. Jih et al.[11] reported 1 case of PMC treated with radiotherapy for loco-regional recurrence.

This is a retrospective single-center case series. All cases of PMC skin presenting at the radiation oncology department of an academic tertiary care medical college of Kolkata from 2017 months for 2 years, then

 

 
 

 

every 6 month. All data was collected from patient records and the radiotherapy treatment planning system.

We are reporting 4 cases of PMC skin, three being treated with surgery and adjuvant radiation and one with definitive radiotherapy.

Case presentation

Case 1

A 66-year-old male patient, a known smoker for more than 20 years, presented with a 3-year history of a growing mass on the right side of his face 1 cm lateral to the lateral aspect of the supraorbital margin (Table 1). The polypoidal mass grew slowly at first, then rose in size over the course of four months. On inspection, the mass was 3cm × 2.5cm, firm to hard, adherent to the skin, free of the underlying structure, and erythematous. A CECT (contrast-enhanced computed tomography) scan of the face and neck revealed a minimally enhancing 2.8 cm x 2.4 cm x 0.8 cm lesion in the same region, along with sub-centimeter right preauricular and level II nodes, a maximum SAD (short axis diameter) of 0.9 cm, and loss of fatty hilum but no contrast enhancement.

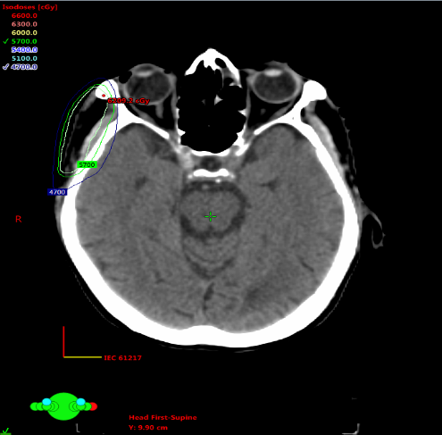
The original lesion was surgically removed in its entirety. The histopathological examination (HPE) revealed a 2.5 x 2 x 1 cm tumor in the dermis, an extensive pool of extracellular mucin, and floating clusters of tumor cells with mild to moderate nuclear pleomorphism and eosinophilic cytoplasm, histological features consistent with mucinous adenocarcinoma (Figures 1a and 1b). The deep margin of resection was positive. A PET CT scan was performed to rule out the main and additional locations, which were normal. The patient denied additional revision surgery or FNAC from the neck node; hence, the multimodality tumor board agreed on adjuvant radiation treatment. The patient received 60 Gy in 25 fractions to the tumor bed with margins and 50 Gy in 25 fractions to the preauricular and right level II nodal regions while respecting organ at risk (OAR) tolerance (Figure 2). The patient handled radiation well, requiring no treatment pauses and experiencing just grade II acute cutaneous toxicity. The patient was scheduled for clinical follow-up. After 16 months of follow-up, there is no clinical evidence of a local or distant recurrence, and the patient lives a normal life.

a)

b)

Figure 1. a) Haematoxylin and eosin stained section of skin (low power, 10X), showing mucin pools separated by fibrous septa along with embedded islands and cords of atypical cells. a. Section of fibrous septa separating mucin pools with embedded islands and cords of cells. b. A pool of extracellular mucin. b) A haematoxylin and eosin-stained section shows atypical cells with enlarged, hyperchromatic nuclei in a glandular pattern embedded in pools of extracellular mucin. a. Atypical cells with hyperchromatic nuclei.

 

Figure 2. IMRT plan of Case 1 showing isodose coverage of tumor bed

 

Case 2

A 60-year-old female with no comorbidity presented with a 7-year history of a slowly growing mass in the right cheek (Table 1). Over the last year, the lesion has progressively increased in size, with oozing from the surface. On clinical examination, a 3 cm x 2.5 cm growth is palpated over the right cheek, just below the zygomatic prominence, with involvement of skin and crusting on the surface. The lesion was not attached to underlying structures. A CECT scan of the face and neck was performed, which showed an irregular thickening of the right cheek with heterogenous contrast enhancement with no suspicious nodal involvement. The patient underwent wide local excision of the lesion at a local clinic. HPE reported features of primary mucinous adenocarcinoma. The deep resection margin was close by 1 mm. Revision surgery was refused by the patient at our institute given the variable cosmetic outcome. A PET CT was done to rule out metastasis from a different primary adenocarcinoma, which did not report any FDG (fluoro deoxy glucose)-avid suspicious lesion at any site. The patient was planned to receive adjuvant radiotherapy to the tumor bed with margins. A dose of 50 Gy in 15 fractions was delivered using IMRT (intensity-modulated radiotherapy), respecting the tolerance of the OARs. A bolus was used on alternate fractions to increase the dose to the skin. The patient developed acute grade II skin toxicity and grade II mucositis. After a follow-up of 18 months, there are no clinical signs of loco-regional or distant recurrence.

Case 3

80-year-old male, with comorbidities Type 2 diabetes mellitus, hypertension, and dyslipidemi presented with a 3-year history of a slow-growing 4.5 x 3.5 cm raised plaque on the right frontal scalp with a 3-month history of hair loss from the region (Table 1). A punch skin biopsy was done at a local clinic and suggested PMC. A slide review done at our institution confirmed the diagnosis. The patient refused any surgical intervention; thus, definitive radiation was planned. A metastatic workup was done to exclude metastases from a mucosal primary. A surface mould was prepared on a 3-clamp thermoplastic mask, with catheters placed 1.5 cm apart to cover the tumour bed and margin. Radiation was delivered in 4 Gy per fraction, two fractions per day delivered at least 6 hours apart for 6 days, to a total dose of 48 Gy. The patient developed acute grade III skin toxicity post-treatment, which was managed conservatively. At the end of 20 months, the patient was clinically well with no evidence of local or systemic recurrence.

Case 4

A 77-year-old male, with no history of comorbidity or addiction, presented at our OPD with a 4-year history of a 2 cm x 1.4 cm slowly growing hyperpigmented mass at the junction of the left nasal ala and facial skin (Table 1). The patient had already undergone an excision at a local clinic, and HPE reported features of primary mucinous carcinoma. No margin details were available from the locally prepared HPE report. A slide review at our institution confirmed the diagnosis. A contrast-enhanced CT scan of the face, neck, thorax, and abdomen was conducted, which did not reveal any local residual disease or distant metastatic focus. A multimodality tumour board was conducted, and the patient was planned for adjuvant radiotherapy. A surface mould was prepared on a 5-clamp thermoplastic mask, and catheters were placed 1 cm apart, covering the tumour bed and 1 cm margin. A dose of 42 Gy in 14 fractions was delivered, 2 fractions per day at least 6 hours apart. Grade II acute skin toxicity was observed post-13 fractions, delaying treatment by 5 days. At the end of 33 months, the patient had no symptoms of local or systemic recurrence.

 

 

Table 1. General parameters, clinical profile, treatment particulars, and toxicity profile of the cases in our study

 

Case 1

Case 2

Case 3

Case 4

Age (in years)

66

60

80

77

Sex

Male

Female

Male

Male

Comorbidity

Yes

No

Yes

No

Addiction

Yes

No

No

No

Tumor location

Face

Face

Scalp

Face

Surgery

Wide local excision

Wide local excision

Not done

Excision

Type of radiation

Adjuvant

Adjuvant

Definitive

Adjuvant

Indication of radiation

Positive margin

Close margin

Definitive treatment

Unknown margin status

Radiation dose

60Gy/25 fractions

50Gy/15 fractions

48Gy/12 fractions, 2 fractions per day

42Gy/14 fractions, 2 fractions per day

Radiation technique

IMRT

IMRT

Surface mould brachytherapy

Surface mould brachytherapy

Acute Toxicity

Grade II skin

Grade II skin, Grade II mucositis

Grade III skin

Grade II skin

Late Toxicity

Grade I skin

Grade I skin

Grade II skin

Grade I Skin

Follow up

16 months

18 months

20 months

33 months

Final staus

Loco regionally controlled disease

Loco regionally controlled disease

Loco regionally controlled disease

Loco regionally controlled disease

NB: IMRT- Intensity Modulated Radiotherapy, Gy- Gray

 

 

Results and Discussion

To summarize, 4 cases of PMC skin were treated with radiotherapy, 3 with adjuvant radiotherapy post-excision, and one with definitive intent. All lesions were in the face and scalp; indications of radiation were positive, close, or unknown margin status. Radiation doses used were 43 to 60 Gy; the maximum dose per fraction was 4 Gy. Only 1 patient had Grade III acute skin toxicity. All patients had loco-regionally controlled disease at the end of the follow-up period.

No definitive guidelines have been published for the management of PMC skin. Being a rare malignancy, most evidence has been from small case series and systematic reviews of case series; thus, developing evidence-based recommendations is difficult. Surgical modality has most commonly been used as a primary modality in all reported series and reviews.[2, 3] Kamalpour et al. in a systematic review, reported excision as the most common form of surgical treatment (85.5%).[3]  Other surgical modalities are standard excision and wide local excision with or without dissection of regional lymph nodes.[4]

PMC skin is usually a locally aggressive tumor with a high local recurrence rate;[10] however, regional nodal metastases,[10, 13] and distant metastases have been reported.[11, 14, 15] A SEER database analysis has reported a 10.5% and 5.8% rate of regional and distant disease, respectively.[9] Since a risk of regional nodal involvement has been reported in the literature, nodal dissection or sampling is warranted in patients with suspicious or clinically significant nodes. In case 1 of our series, the patient refused nodal dissection or FNAC; thus, radiation was delivered to the ipsilateral high-risk nodal region to reduce the risk of recurrence.

An incomplete resection may lead to poor outcomes; [3, 14] thus, some form of adjuvant treatment may be helpful to delay recurrences in such cases. In our series, three patients received adjuvant radiation, and one received definitive radiation. The indications of adjuvant radiation in our series were positive, close, and unknown resection margin status. Wang LS et al. reported 9 cases of skin adnexal carcinoma treated with adjuvant radiotherapy, among which only one was mucinous carcinoma of the scalp, which did not recur during the follow-up period.[6] Indications of adjuvant radiotherapy in this study were positive margins and nodes, extracapsular extension, perineural invasion, high grade, multifocal, and recurrent disease. Other small series have reported adjuvant radiation for skin adnexal carcinoma, but they did not include PMC skin.[8, 16]

Radiation has been historically used for the treatment of recurrent mucinous carcinoma of the skin.[10-12] Recurrent diseases have been historically reported to be radio-resistant and chemo-resistant.[13] However, due to the paucity of data and information being documented from small cases, it is difficult to assess with certainty the role of radiation therapy in recurrent settings.

No specific radiation dose has been recommended for the treatment of PMC skin. Jih et al. treated recurrent locoregional disease with a dose of 50 to 70 Gy.[11] Yeung et al. treated metastatic disease for palliation to a total dose of 5000 rad (50 Gy).[13] Wang et al. used two fractionation regimens: 50 Gy in 20 fractions and 60 Gy in 30 fractions. Hypofractionation can be a modality to increase the Biologically Effective Dose (BED) and overcome documented radioresistance in PMC. Hypofractionation has been routinely used to treat epithelial skin cancers,[5, 17, 18]  and Locke et al. showed that increasing fraction size leads to better local control.[18] Extrapolating From available experience with epithelial skin carcinoma, we have used hypofractionation in all 4 cases.

Definitive radiation for unresectable PMC skin (or for patients who refuse surgery) has not been individually reported in the literature. We have reported in our series two cases of PMC treated with surface mould brachytherapy with no disease progression during the follow-up period. Few cases of skin adnexal carcinoma have been reported that have been treated with definitive radiation, but they did not include PMC skin.[7, 8]

Recurrences have been documented in PMC skin cases, despite the fact that it is a rare cancer with few documented cases and good local control.[2, 9, 19] According to Tolkachjov et al.[20], the rates of distant metastasis and local recurrence were 6.4% and 9.6%, respectively. The recurrence rate of primary lesions surrounding the eyes is 34%, and the regional metastatic rate is 11%.[14] Our investigation found no recurrences during the follow-up period. A SEER study found 10 disease-specific deaths after an average follow-up of 88.2 months for 411 patients.[9] The review also found that poorly differentiated histology and age over 60 years were associated with poor survival. Our patients were all in the high-risk category, meaning they were 60 years or older.

Our series has several limitations. It is a single small institutional series of 4 cases, the results of which are difficult to put into practice without further investigations. The study was retrospective; there was no standardization of surgical technique because all primary surgery was done at local clinics outside the institution without the approval of a multidisciplinary tumor board. However, it is a unique series because it is the only series in the literature where all four cases were treated with adjuvant or definitive radiotherapy, leading to good local control and acceptable treatment-related toxicity. We have also provided adequate information on the radiation delivery technique.

Conclusion

In conclusion, adjuvant or definitive radiation may be used in high-risk cases and as an alternative to surgical techniques with good outcomes and acceptable toxicity profiles. Due to the poor availability of cases, a randomized controlled trial would be difficult to conduct; however, prospective data is required for developing evidence-based recommendations.

Acknowledgments

None

Conflict of interest

None

Financial support

None

Ethics statement

Informed consent was taken from all paticipants for publishing this data in the case series.  Clearance was obtained from the Instititional Ethics Committee for publishing this document.

References

  1. Karimipour DJ, Johnson TM, Kang S, Wang TS, Lowe L. Mucinous carcinoma of the skin. J Am Acad Dermatol. 1997;36(2 Pt 2):323-6.
  2. Adefusika JA, Pimentel JD, Chavan RN, Brewer JD. Primary mucinous carcinoma of the skin: the Mayo Clinic experience over the past 2 decades. Dermatol Surg. 2015;41(2):201.
  3. Kamalpour L, Brindise RT, Nodzenski M, Bach DQ, Veledar E, Alam M. Primary cutaneous mucinous carcinoma: A systematic review and meta-analysis of outcomes after surgery. JAMA Dermatol. 2014;150(4):380-4.
  4. Breiting L, Christensen L, Dahlstrøm K, Breiting V, Winther JF. Primary mucinous carcinoma of the skin: A population-based study. Int J Dermatol. 2008;47(3):242-5.
  5. Veness MJ, Delishaj D, Barnes EA, Bezugly A, Rembielak A. Current role of radiotherapy in non-melanoma skin cancer. Clin Oncol. 2019;31(11):749-58.
  6. Wang LS, Handorf EA, Wu H, Liu JC, Perlis CS, Galloway TJ. Surgery and adjuvant radiation for high-risk skin adnexal carcinoma of the head and neck. Am J Clin Oncol. 2017;40(4):429-32.
  7. Stein JM, Ormsby A, Esclamado R, Bailin P. The effect of radiation therapy on microcystic adnexal carcinoma: A case report. Head Neck. 2003;25(3):251-4.
  8. Pugh TJ, Lee NY, Pacheco T, Raben D. Microcystic adnexal carcinoma of the face treated with radiation therapy: A case report and review of the literature. Head Neck. 2012;34(7):1045-50.
  9. Rismiller KP, Crowe DR, Knackstedt TJ. Prognostic factors, treatment, and survival in primary cutaneous mucinous carcinoma: A SEER database analysis. Dermatol Surg Off Publ Am Soc Dermatol Surg Al. 2020;46(9):1141-7.
  10. Wright JD, Font RL. Mucinous sweat gland adenocarcinoma of eyelid: A clinicopathologic study of 21 cases with histochemical and electron microscopic observations. Cancer. 1979;44(5):1757-68.
  11. Jih MH, Friedman PM, Kimyai-Asadi A, Goldberg LH. A rare case of fatal primary cutaneous mucinous carcinoma of the scalp with multiple in-transit and pulmonary metastases. J Am Acad Dermatol. 2005;52(5 Suppl 1):S76-80.
  12. Mendoza S, Helwig EB. Mucinous (adenocystic) carcinoma of the skin. Arch Dermatol. 1971;103(1):68-78.
  13. Yeung KY, Stinson JC. Mucinous (adenocystic) carcinoma of sweat glands with widespread metastasis. Case report with ultrastructural study. Cancer. 1977;39(6):2556-62.
  14. Snow SN, Reizner GT. Mucinous eccrine carcinoma of the eyelid. Cancer. 1992;70(8):2099-104.
  15. Miyasaka M, Tanaka R, Hirabayashi K, Yamazaki A, Shinohara H, Taira H, et al. Primary mucinous carcinoma of the skin: A case of metastasis after 10 years of disease-free interval. Eur J Plast Surg. 2009;32(4):189-93.
  16. Baxi S, Deb S, Weedon D, Baumann K, Poulsen M. Microcystic adnexal carcinoma of the skin: the role of adjuvant radiotherapy. J Med Imaging Radiat Oncol. 2010;54(5):477-82.
  17. Kwan W, Wilson D, Moravan V. Radiotherapy for locally advanced basal cell and squamous cell carcinomas of the skin. Int J Radiat Oncol Biol Phys. 2004;60(2):406-11.
  18. Locke J, Karimpour S, Young G, Lockett MA, Perez CA. Radiotherapy for epithelial skin cancer. Int J Radiat Oncol. 2001;51(3):748-55.
  19. Tillit SM, Iyer SSR, Grieser EJ, LiVecchi JT. Treatment of recurrent primary cutaneous mucinous carcinoma of the eyelid with modified wide local excision. Case Rep Ophthalmol Med. 2020;2020:e6668640.
  20. Tolkachjov SN. Adnexal carcinomas treated with Mohs micrographic surgery: A comprehensive review. Dermatol Surg. 2017;43(10):1199.

 

 

Cite this article
Vancouver
Roy N, Ghosh AK, Chhatui B, Debnath S, Choudhury A, Mazumdar J, et al. Primary Cutaneous Mucinous Adenocarcinoma of Facial Region Treated with Multimodality Therapy: Case Series of Rare Malignancy. Clin Cancer Investig J. 2025;14(2):7-11. https://doi.org/10.51847/BZhE6cy7b3
APA
Roy, N., Ghosh, A. K., Chhatui, B., Debnath, S., Choudhury, A., Mazumdar, J., Mondal, J., & Hazra, S. (2025). Primary Cutaneous Mucinous Adenocarcinoma of Facial Region Treated with Multimodality Therapy: Case Series of Rare Malignancy. Clinical Cancer Investigation Journal, 14(2), 7-11. https://doi.org/10.51847/BZhE6cy7b3

Downloads: 139

Views: 787
Related articles:
Most viewed articles:
Copyright © 2026 Clinical Cancer Investigation Journal. Authors retain copyright of their article if they are accepted for publication.
Creative Commons License 
ISSN Print: 2278-1668, Online: 2278-0513