Deniz Publication
Clinical Cancer Investigation Journal
ISSN Print: 2278-1668, Online: 2278-0513


Publisher: Deniz Publication
ARTICLE
Year: 2023   |   Volume: 12   |   Issue: 2   |   Page: 57-62     View issue

Agenesis of the Left Internal Carotid Artery and Congenital Pituitary Aplasia

Sarah Abdullah Soliman1*, Ahmad Hadad2, Mohamad Al Gatheradi3, Saeed Al Fadhil4

1Department of Diagnostic Radiology, Military Hospital, Southern Region, Saudi Arabia. 2Department of Diagnostic Radiology, Military Hospital, Southern Region, Saudi Arabia. 3Department of Diagnostic Radiology, Maternity and Children Hospital, Abha, Saudi Arabia. 4Department of Pediatric, Military Hospital, Southern Region, Saudi Arabia.


Abstract

Less than 0.01% of the overall society worldwide has been recorded to have internal carotid artery (ICA) agenesis, making it a remarkably uncommon embryonic vascular defect. Pituitary aplasia is another uncommon congenital disorder. In this article, we describe an incredibly rare pediatric case that had the development of one internal carotid artery and aplasia of the pituitary. The patient is a 2-and-a-half-year-old boy with dysmorphic features, such as frontal bossing, deep-seated eyes, low-set ears, depressed nasal bridge, head lags, and micropenis. He suffered generalized severe hypoglycemia and hypothyroidism on day 1 of life. He was hospitalized at our hospital for a workup and an MRI (Magnetic resonance image) of the brain to check the pituitary gland. His left internal carotid artery and carotid canal were missing, and the pituitary and Sella turcica revealed aplasia on MRI. A diagnosis of congenital panhypopituitarism coupled with agenesis of ICA was made. Here we present the first incidence of a verified complete pituitary aplasia in a patient with ICA agenesis. In the case of Congenital pituitary aplasia/hypoplasia, our experience indicates any vascular anomalies should be thoroughly evaluated. The formation of collateral circulation in unilateral ICA agenesis cases to complement the circulation and the presence of hormonal replacement therapy help such patients massively. It is not uncommon for unilateral ICA agenesis to remain asymptomatic because of the formation of collateral circulation that obtains the proper blood supply.

Keywords: Agenesis, MRI, ICA, Congenital pituitary aplasia, Left internal carotid artery


Introduction

Agenesis of the internal carotid artery is an extremely uncommon neonatal abnormality.[1, 2] Less than 0.01% of the worldwide population has been reported to have this congenital vascular anomaly.[3-5] ICA Agenesis is described as the whole lack of the ICA and carotid canal; aplasia is defined as a lack of sections of the carotid canal and the ICA; and hypoplasia is defined as the narrowing of the carotid canal and the ICA. These are different possible varieties of findings in agenesis anomalies of the ICA.[3, 6] Collateral circulation forms during the embryonic period to compensate for the absence of blood supply in such cases. Therefore, the majority of instances of unilateral agenesis are asymptomatic.[4, 7] In the ICA agenesis, a 3:1 left side majority has been noted.[5, 8] We present a highly unusual example of pituitary aplasia accompanied by unilateral ICA.[9, 10]

Case description

The patient is a 2-and-a-half-year-old kid. He was delivered by cesarean section after forty weeks of gestation. His baby's weight at birth was 2,800 g, and the length of his body was 49.0 cm. There was no consanguinity. He suffered generalized severe hypoglycemia and hypothyroidism on day 1 of life. Thereafter, he went on to be admitted to the NICU (Neonatal intensive care unit) for 1 month and 15 days. He was transported to our hospital for a medical checkup. An examination revealed dysmorphic traits such as frontal bossing, deep-seated eyes, low-set ears, a depressed nasal bridge, head lags, and micropenis. The patient had no pyriform aperture stenosis and no solitary maxillary central incisor (SMCI). Cardiac and fundal examinations were normal. He had generalized severe hypoglycemia and hypothyroidism on day 1 of life. Thereafter, he was admitted to NICU for 1 month and 15 days. He was also admitted for a diagnostic work-up and MRI brain to evaluate the pituitary gland.

MRI findings showed the lack of the normal flow void of the left internal carotid canal and the first part of the left middle cerebral artery (Figures 1 and 2). The pituitary gland is flat. No evident anterior or posterior pituitary gland tissue or pituitary stalk is observed. The pituitary gland's strong posterior signal is not detected in situ or
 

 

ectopic. The left medial cerebral artery originates within the posterior circulation, and the left internal carotid artery cannot be seen. No intra, supra, retro or parasellar masses. Normal MRI appearance of the optic chiasm and corpus callosum. Otherwise, normal MR appearance of the brain parenchyma with no definite focal lesions. Diagnosis of congenital panhypopituitarism associated with agenesis of ICA was made.

His growth and development have been normal since the beginning of the hormone replacement medication. He has no abnormalities in his nervous system. His eye fundus and eyesight are unharmed. Now, the patient is on growth hormone, thyroxine, hydrocortisone, and he is doing well.[11]

A 46, XY typical male karyotype was discovered by chromosomal analyses. No gene inconsistencies were found. A thorough evaluation was conducted, with a focus on endocrinology, metabolism, neurology, and cardiology (Table 1).

 

 

Table 1. our patient's initial lab results

Test

Value

Reference Range

Thyroid function test

Cord TSH

0,01 uIU/ml

1 - 38.9

TSH

0.005 uIU/mL

0.5 - 5.0

FREE T3

2.8  pmol/L

12 – 30

FREE T4

5.04 pmol/L

2.0 - 7.0

Androgens tests

Testosterone

2.35 nmol/L

2.602 - 13.877

Follicle-stimulating hormone

0.01 mIU/ml

0 - 5.0

Luteinizing hormone

0.04 mIU/ml

1.24 - 7.8

Prolactin

0.57 ng/ml

0 – 17

Blood Sugar

Random Glucose

3.7 mmol\L

3.9 - 5.6

Cortisol testing

Cortisol

8.7 nmol/L

<28–717

ACTH stimulation test

ACTH

11.2 pg/ml

 

 

CORT at 0 min

4.6 nmol/L

 

CORT at 20 min

5.7 nmol/L

 

CORT at 30 min

7.8.  nmol/L

 

CORT at 60 min

7.9 nmol/L

 

ACTH: Adrenocorticotrophic hormone; TCH: Thyroid-stimulating hormone

 

a)

b)

c)

d)

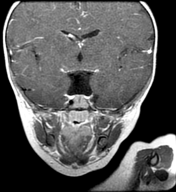
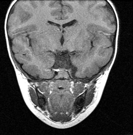
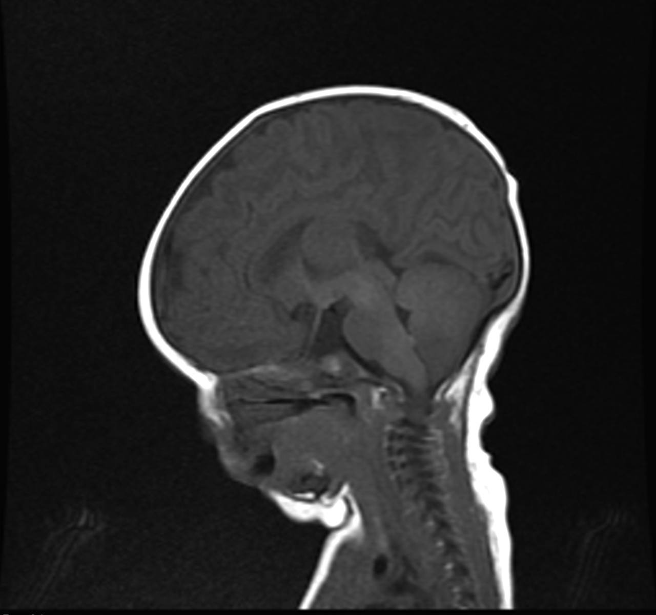
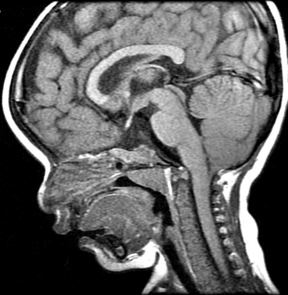
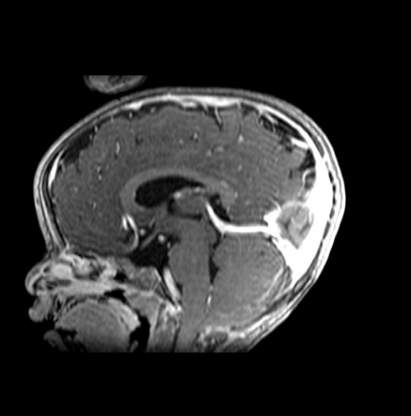
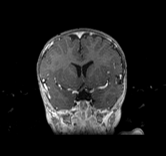
Figure 1. a-c) figures showing MRI brain sagittal views of the patient where the pituitary sella is flat. No obvious anterior or posterior pituitary gland tissue or pituitary stalk is seen. The posterior pituitary bright signal is not visualized in site or ectopic. d) coronal MRI scan showing absence of pituitary gland tissue.

Generally, no intra, supra, retro, or parasellar masses. Normal MRI appearance of the optic chiasm and corpus callosum. Otherwise, normal MR appearance of the brain parenchyma with no definite focal lesions.

a)

b)

c)

d)

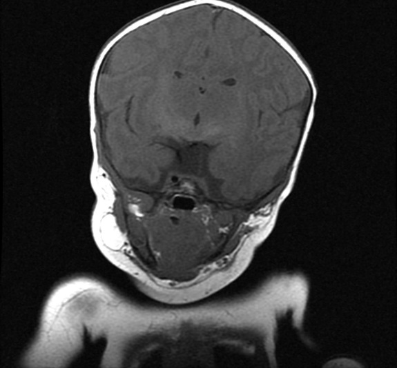
Figure 2. a-c) show coronal MRI brain images, and d) is a view in which the left midcranial artery is coming from the posterior circulation and the left internal carotid artery is not visible (agenesis).

 

Results and Discussion

This case study describes a 2-and-a-half-year-old kid who had agenesis of the ICA, pituitary aplasia, and subsequent hypopituitarism, all of which were linked to various comorbidities.[12, 13] These two abnormalities are uncommon in general, and it is even more unusual for them to occur together.[14, 15] Congenital hypopituitarism (CH) is an uncommon congenital condition that can present as multiple pituitary hormone involvement (combined pituitary hormone deficits; CPHD) or an isolated hormone absence, with isolated growth hormone deficiency (IGHD) being the most prevalent form.[8, 16]

During embryogenesis, variations in the structure of the arteries that carry blood to the brain during embryogenesis may take place, and these variations may affect how vascular disease develops. The first stage in which changes might occur is angiogenesis, which primarily involves the sprouting of parent arteries. The internal carotid artery, which initially forms in the 5th week of embryological life, supplies the primitive brain with all the blood it needs. The ICA begins to form during the 3 mm stage of developmental embryology. It develops from the initial and third aortic arches, the paired dorsal aorta, and other blood vessels. The root of the ICA is composed of the third aortic arch. The intermediate parts of the ICA emerge from the dorsal aorta at the initial and third aortic arches.[17]

The anterior neural ridge, the most anterior portion of the neural plate in the embryo, is the origin of the pituitary or adenohypophyseal placode, which marks the border between the anterior section of the ectoderm and the neuroectoderm. The neural plate cells that give birth to the telencephalon, hypothalamus, and posterior pituitary are located right next to the pituitary placode. The Rathke's pouch, an invagination of the oral ectoderm that will eventually give birth to the anterior and intermediate lobes of the pituitary, is located in the pituitary placode.[18]

A low number of cases of CPHD linked to ICA have been documented such as Inamo and Harada [19] and Tanaka et al.[20] In both cases, there was Pituitary hypoplasia associated with anomaly or absence of one of the ICA. There were also deficiencies in TSH, GH (Growth hormone), and ACTH. there were central diabetes insipidus and possible hypogonadism, too.[19, 20] In our case, the pituitary gland was completely absent, and both lobes were in association with left ICA agenesis. Similarly, our patient has TSH, GH, and ACTH deficiency. He also has a micropenis.

Generally, ICA agenesis is rarely connected to congenital hypopituitarism. Despite the fact that many of these publications did not address, or perhaps detailed insufficiently, the potential related endocrinological problems and treatments, all documented instances involved individuals with CPHD and the agenesis of ICA.[21] Due to this, many people have proposed that pituitary disorders have vascular causes. During development, the third aortic arch gives rise to the ICA. However, it is debatable whether the third aortic arch or the aortic sac serves as the origin of the common and external carotid arteries.[22] Most newborns who have this vascular defect are asymptomatic, and the rarity of pediatric ICA agenesis diagnoses suggests that artery collateral channels appear to maintain a sufficient level of brain perfusion.[23, 24]

The development abnormalities anencephaly, holoprosencephaly, septo-optic dysplasia, and empty-sella syndrome can all coexist with pituitary aplasia. A solitary maxillary central incisor or midfacial deformities imply a significant chance of growth hormone insufficiency. Although pituitary aplasia without brain or skull abnormalities is uncommon, a shortage of blood flow may cause congenital hypopituitarism by creating congenital pituitary hypoplasia (CPH).[25-27]

Congenital hypopituitarism is frequently difficult to diagnose. Testing for dynamic pituitary function in newborn infants is not frequently done. Infancy-related severe hypoglycemia brought on by GH and cortisol deficiency is often treated with both hormone replacement therapy.[28, 29]

Low blood levels of GH and cortisol seen in a baby with ketonuria, and hypoglycemia strongly suggests hypopituitarism. Because there are insufficient glycogen reserves in the liver, this type of hypoglycemia does not respond to glucagon. All of such patients had significant symptoms of hypoglycemia, but in instances 1 and 2, the appropriate replacement medication was administered too late, resulting in irreparable brain damage.[28] Each patient with such an anomaly differs in the endocrinological, anatomical, and clinical manifestations (Table 2) which contains a review of the previously reported similar cases in the published literature.

 

 

Table 2. The clinical and anatomical characteristics of patients with congenital hypopituitarism and internal carotid artery anomalies.

 

Sex

Age at report

Pituitary MRI

Carotid MRI

Clinical Characteristics

Report date

Author

1

Not specified

Not specified

Not specified (except

for normal posterior pituitary)

Absence of ICA and carotid

Canal

Not specified.

1994

Triulzi [30]

2

M

18 months

Pituitary hypoplasia

Anomaly of right ICA

TSH, GH, ACTH deficiency. Central

diabetes insipidus. Possible

hypogonadism.

1996

Tanaka [20]

3

M

3 weeks

Absence of anterior pituitary

with ectopic posterior

pituitary.

Absence of the left ICA and

carotid canal

GH, TSH, ACTH and gonadotropin

deficiency. Microphallus.

1996

Shulman [31]

4

F

5 months

Absence of anterior pituitary

and ectopic pituitary

posterior lobe.

Absence of right common carotid

artery, right ICA, right anterior

cerebral artery.

TSH, ACTH, and GH deficiency. No

evidence of diabetes insipidus. Genitalia

were normal. Single central maxillary

incisor.

1999

Kjellin [32]

5

M

23 years

Absence of anterior pituitary

and ectopic pituitary

posterior lobe

Absence of right ICA and carotid

canal and A1 segment of the right

anterior cerebral artery.

Congenital microphthalmia with

cataract and coloboma of the right eye,

encephalocele. Hormonal substitution

treatments not specified.

1999

Blustajn [33]

6

M

37 years

Absence of anterior pituitary

Hypoplasia of right ICA and

carotid canal.

Amblyopia of the left eye caused by an

optic nerve coloboma, encephalocele.

Hormonal substitution treatments not

specified.

1999

Blustajn [33]

7

F

 

29 years

Pituitary hypoplasia and

ectopic pituitary posterior

lobe.

Absence of right ICA, carotid canal,

and A1 segment of the right

anterior cerebral artery.

TSH, ACTH, and GH deficiency. No

evidence of diabetes insipidus.

Hypogonadism. Chiari I malformation

with syringomyelia.

2001

Mellado [34]

8

M

5 years

Absence of anterior pituitary

and ectopic pituitary

posterior lobe.

Absence of left ICA and carotid

canal, A1 segment of the left

anterior cerebral artery and the

anterior communicating artery.

Retrognathia, microphallus, and

cryptorchidism. TSH, ACTH, GH

deficiency, but no evidence of diabetes

insipid. Possible hypogonadism.

2002

Moon [35]

9

M

11 years

Pituitary hypoplasia

Absence of left ICA and carotid

canal; hypoplasia of A1 segment of

left anterior cerebral artery.

TSH, ACTH, GH deficiency. Central

diabetes insipidus. Microphallus with

possible hypogonadism

2003

Inamo [19]

10

F

10 years

Hypoplastic anterior pituitary,

flat sella turcica, absent

pituitary stalk.

Agenesis of the left ICA and the

left carotid canal

GH, TSH, gonadotropin deficiency. No

evidence of diabetes insipidus.

2012

Lamine [36]

11

F

7

Months

Adenohypophyseal

hypoplasia with a lack of

posterior pituitary

hyperintensity

Absence of the left ICA

 

Desaturation episodes, recurrent

respiratory infections. Short hands and

feet. GH, ACTH, and TSH deficiency.

2012

Savasta [15]

12

F

 

2 years

Adenohypophyseal

hypoplasia with a lack of

posterior pituitary

hyperintensity

Absence of the right ICA

GH, TSH, and gonadotropin deficiency.

No clinical evidence of diabetes

insipid.

 

 

13

M

17 years

Adenohypophyseal

hypoplasia with a lack of

posterior pituitary

hyperintensity.

Agenesis of the left ICA

GH deficiency. No other pituitary

deficiencies. No clinical evidence of

diabetes insipidus.

2015

Stage [8]

14

M

2 years

Absence of obvious anterior or posterior pituitary gland

tissue or pituitary stalk.

Agenesis of left ICA

GH, TSH, and ACTH

Deficiency. Frontal bossing, deep-seated eyes, low

set ears, depressed nasal bridge, head lags, and micropenis.

2023

Our case

 

Conclusion

Here, we provide the first instance of a patient with ICA agenesis with a verified full pituitary aplasia. In the case of Congenital pituitary aplasia/hypoplasia, our experience indicates any vascular anomalies should be thoroughly evaluated. The formation of collateral circulation in unilateral ICA agenesis cases to complement the circulation and the presence of hormonal replacement therapy help such patients massively. It is not uncommon for the unilateral ICA agenesis to remain asymptomatic because of the formation of collateral circulation that obtains the proper blood supply.

Acknowledgments

The authors would like to acknowledge the support from the Research supervisor.

Conflict of interest

None.

Financial support

None.

Ethics statement

None.

References

  1. Sadeghi M, Rahimi M, Poornoroz N, Jahromi FF. Patient satisfaction with hospital services after the implementation of the health system. Arch Pharm Pract. 2021;12(1):31-6.
  2. Albarq AN, Suleiman AK. Pharmaceutical marketing strategies' influence on physician's prescription behavior. Arch Pharm Pract. 2021;12(1):7-12.
  3. Kahraman AS, Kahraman B, Ozdemir ZM, Dogan M, Kaya M, Gormeli CA, et al. Congenital agenesis of right internal carotid artery: a report of two cases. J Belgian Soc Radiol. 2016;100(1). doi:10.5334/jbr-btr.1015
  4. Dias EL, Silveira Filho LG, Ferreira AD. Agenesis of the internal carotid artery: a rare anomaly. Radiol Bras. 2018;51(6):410-1. doi:10.1590/0100-3984.2017.0070
  5. Lee JH, Oh CW, Lee SH, Han DH. Aplasia of the internal carotid artery. Acta Neurochir. 2003;145(2):117-25. doi:10.1007/s00701-002-1046-y
  6. Zavalishina SY, Shalupin VI, Rodionova IA, Kumantsova ES, Rysakova OG, Ryazantsev AA, et al. Influence of regular basketball practice in adolescence on the functional capacity of the heart. J Biochem Technol. 2022;13(1):20-4.
  7. Makurina ON, Mal GS, Dorontsev AV, Komarov MN, Romanova AV, Viktorovich M, et al. Possibilities of handball practice in strengthening heart function in university students. J Biochem Technol. 2022;13(1):29-33.
  8. Stagi S, Traficante G, Lapi E, Pantaleo M, Becciani S, Mortilla M, et al. Agenesis of internal carotid artery associated with isolated growth hormone deficiency: a case report and literature review. BMC Endocr Disord. 2015;15(1):1-7. doi:10.1186/s12902-015-0037-y
  9. Althobaiti ASS, Alammari AWA, Alalawi AAA, Alhawiti NOS, Al-Balawi AY, Asseri MAA, et al. Evaluation of the role of antiplatelet medications in cardiovascular disease. Pharmacophore. 2021;12(2):97-103.
  10. Berezin AA, Myrnyi DP, Myrnyi SP, Berezin AE. The hormone-like Myokines Irisin as novel biomarker for cardiovascular risk stratification. Pharmacophore. 2021;12(1):44-50.
  11. Iosseliani DG, Bosha NS, Sandodze TS, Azarov AV, Semitko SP. The effect of revascularization of the internal Carotid artery on the Microcirculation of the eye. J Adv Pharm Educ Res. 2020;10(2).
  12. Gholizadeh B, Nabavi SS, Baghaei S, Zadeh FJ, Moradi-joo E, Amraie R, et al. Evaluation of risk factors for cardiovascular diseases in pregnant women referred to Golestan hospital in Ahvaz. Entomol Appl Sci Lett. 2021;8(3):40-5.
  13. Nabavi SS, Gholizadeh B. Evaluation of the quality of life of the patients with heart failure in Ahvaz teaching hospitals. Entomol Appl Sci Lett. 2022;9(1):26-30.
  14. Berezin AA, Poliasnyi VA, Kovalevskaya LA, Ivanchenko SA, Pahlevanzade A, Panigrahi PK, et al. Fetuin-A as metabolic biomarker in patients at higher risk of heart failure. J Biochem Technol. 2021;12(3):59-66.
  15. Savasta S, Merli P, Introzzi F, Strocchio L, Lanati G, Incorpora G, et al. Agenesis of internal carotid artery and hypopituitarism: Case report and review of literature. J Clin Endocr Metab. 2012;97(10):3414-20. doi:10.1210/jc.2011-3389
  16. Alghamdi KMS, Alqahtani BAM, Alhazmi AHO, Alsaedi ZAA, Alsulaimani WTM, Almatrafi FBH, et al. GLP-1 Receptor agonist cardiovascular protection among Type-2 diabetes patients: A literature review. Pharmacophore. 2021;12(5):76-80.
  17. Davis SW, Ellsworth BS, Millan MI, Gergics P, Schade V, Foyouzi N, et al. Pituitary gland development and disease: From stem cell to hormone production. Curr Top Dev Biol. 2013;106:1-47. doi:10.1016/B978-0-12-416021-7.00001-8
  18. Li S, Hooda K, Gupta N, Kumar Y. Internal carotid artery agenesis: A case report and review of literature. Neuroradiol J. 2017;30(2):186-91. doi:10.1177/1971400917692162
  19. Inamo Y, Harada K. Agenesis of the internal carotid artery and congenital pituitary hypoplasia: proposal of a cause of congenital hypopituitarism. Eur J Pediatr. 2003;162(9):610-2. doi:10.1007/s00431-003-1272-1
  20. Tanaka R, Tokuda M, Shinakawa S, Okasora K, Suzuki S, Konishi K. A multiple pituitary hormone deficiency patient with anomaly of internal carotid artery. InProc 21st International Symposium on Growth Hormone and Growth Factors in Endocrinology and Metabolism, Venice. 1996.
  21. Quint DJ, Boulos RS, Spera TD. Congenital absence of the cervical and petrous internal carotid artery with intercavernous anastomosis. AJNR: Am J Neuroradiol. 1989;10(2):435-9.
  22. Claros P, Bandos R, Gilea I, Clarós Jr A, Capdevila A, Rodrı́guez JG, et al. Major congenital anomalies of the internal carotid artery: Agenesis, aplasia and hypoplasia. Int J Pediat Otorhinolaryngol. 1999;49(1):69-76. doi:10.1016/s0165-5876(99)00012-9
  23. Elazab NE, Riel-Romero RM, Gonzalez-Toledo E. Internal carotid artery agenesis and basilar artery aneurysm with third nerve palsy. Pediatr Neurol. 2010;42(6):451-4. doi:10.1016/j.pediatrneurol.2010.02.002
  24. Mayer PL, Leon Kier E. the ontogenetic and phylogenetic basis of cerebrovascular anomalies and variants. brain surgery: Complications, Avoidance, and Management, edited by Mlj Apuzzo.
  25. De Graaff LC, Argente J, Veenma DC, Drent ML, Uitterlinden AG, Hokken-Koelega AC. PROP1, HESX1, POU1F1, LHX3 and LHX4 mutation and deletion screening and GH1 P89L and IVS3+ 1/+ 2 mutation screening in a Dutch nationwide cohort of patients with combined pituitary hormone deficiency. Horm Res Paediatr. 2010;73(5):363-71. doi:10.1159/000308169
  26. Lippe BM, Sample WF. Pelvic ultrasonography in pediatric and adolescent endocrine disorders. J Pediatr. 1978;92(6):897-902. doi:10.1016/s0022-3476(78)80356-4
  27. Orsini LF, Salardi S, Pilu G, Bovicelli L, Cacciari E. Pelvic organs in premenarcheal girls: Real-time ultrasonography. Radiology. 1984;153(1):113-6. doi:10.1148/radiology.153.1.6473771
  28. Scommegna S, Galeazzi D, Picone S, Farinelli E, Agostino R, Bozzao A, et al. Neonatal identification of pituitary aplasia: A life-saving diagnosis. Horm Res Paediatr. 2004;62(1):10-6. doi:10.1159/000077661
  29. Warne GL. Endocrinology of the Newborn. Clinical Pediatric Endocrinology, edited by Cgd Brook and P. C. Hindmarsh, 2001, pp. 77-94.
  30. Triulzi F, Scotti G, di Natale B, Pellini C, Lukezic M, Scognamiglio M, et al. Evidence of a congenital midline brain anomaly in pituitary dwarfs: a magnetic resonance imaging study in 101 patients. Pediatrics. 1994;93(3):409-16. doi:10.1542/peds.93.3.409
  31. Shulman DI, Martinez CR. Association of ectopic posterior pituitary and anterior pituitary hypoplasia with absence of the left internal carotid. J Pediatr Endocrinol Metab. 1996;9(5):539-42. doi:10.1515/jpem.1996.9.5.539
  32. Kjellin IB, Kaiserman KB, Curran JG, Geffner ME. Aplasia of right internal carotid artery and hypopituitarism. Pediatr Radiol. 1999;29(8):586-8. doi:10.1007/s002470050654
  33. Blustajn J, Netchine I, Frédy D, Bakouche P, Piekarski JD, Meder JF. Dysgenesis of the internal carotid arteryassociated with transsphenoidal encephalocele: A neural crest syndrome? Am J Neuroradiol. 1999;20(6):1154-7.
  34. Mellado JM, Merino X, Ramos A, Salvadó E, Saurí A. Agenesis of the internal carotid artery with a trans-sellar anastomosis: CT and MRI findings in late-onset congenital hypopituitarism. Neuroradiology. 2001;43(3):237-41. doi:10.1007/s002340000460
  35. Moon WJ, Porto L, Lanfermann H, Weis R, Zanella F. Agenesis of internal carotid artery associated with congenital anterior hypopituitarism. Neuroradiology. 2002;44(2):138-42. doi:10.1007/s002340100678
  36. Lamine F, Kanoun F, Chihaoui M, Saveanu A, Menif E, Barlier A, et al. Unilateral agenesis of internal carotid artery associated with congenital combined pituitary hormone deficiency and pituitary stalk interruption without HESX1, LHX4 or OTX2 mutation: a case report. Pituitary. 2012;15(S1):81-6. doi:10.1007/s11102-012-0411-y

 

Copyright © 2026 Clinical Cancer Investigation Journal. Authors retain copyright of their article if they are accepted for publication.
Creative Commons License 
ISSN Print: 2278-1668, Online: 2278-0513